Gastroenterology Articles
Articles
Research Shows Promise for Personalized Medicine in Crohn’s Disease
Recent study suggests potential new treatments for subset of patients carrying genetic mutation.
Preventing Pancreatitis After ERCP
Johns Hopkins physician-researchers aim to make a key procedure safer.
Toward Ending Viral Hepatitis in Vietnam
Johns Hopkins hepatologists Doan Dao and James Hamilton, along with philanthropists Mai and Volker Dolch, aim to eradicate this primary driver of deadly liver cancer by 2030.
Johns Hopkins Study Reveals Racial and Socioeconomic Disparities in Liver Transplant
Researchers demonstrate that patients from underrepresented populations living in low-socioeconomic neighborhoods are at significant risk of not receiving the care they require.
Johns Hopkins Hepatologists Detect Liver Cancer in Urine Test
Researchers show that screening urine for ctDNA as part of a two-stage test increases detection sensitivity from 40% to 77% in early-stage liver cancer, and from 62% to 92% in the very early stage of disease.
Study Reveals High Prevalence of Alcohol, Opioid Use Among Patients with Crohn’s Disease in U.S.
Newly diagnosed people with Crohn’s disease (CD) in the United States are more likely to experience drug and alcohol use compared with the general population, according to a recent study led by Johns Hopkins Medicine researchers. The study, ...
New research opens window into understanding the needs of patients after the procedure.
Gastroenterologist Develops Gel to Stop Bleeding After Precancerous Polyp Removal
Venkata Akshintala leads a team of pharmacologists, biomedical engineers and mechanical engineers to create a gel that uses epinephrine nanoparticles to stop bleeding following a procedure.
In a new study using a rat model of Crohn’s disease, a biodegradable hydrogel composite loaded with stem cells, developed by Johns Hopkins Medicine researchers, in a collaborative effort with the Whiting School of Engineering, has shown ...
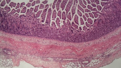
Should We Burn Barrett’s Esophagus? Or Should We Freeze It?
Clinical trials led by Johns Hopkins endoscopy specialists investigate cryotherapy approach to treat Barrett’s esophagus.
Improving Pancreatic Cancer Survival Through Surveillance
Johns Hopkins-led study shows that for patients at high risk of developing disease, annual screening caught most pancreatic cancers in early, treatable stages.
In 2012, Dr. Mouen Khashab, professor in the Division of Gastroenterology & Hepatology, pioneered peroral endoscopic myotomy (POEM) to treat esophageal achalasia – a disorder of the esophagus that makes swallowing difficult.
Johns Hopkins Researchers Generate Lab-Grown Human Tissue Model for Food Tube Cancer
Researchers at Johns Hopkins Medicine say they have created a laboratory-grown three-dimensional “organoid” model that is derived from human tissue and designed to advance understanding about how early stages of cancer develop at the gastroesophageal ...
DNA Shed from Colon Cancers into Bloodstream Guide Chemotherapy
A new research study showed that circulating tumor DNA (ctDNA) — genetic material shed from tumors into the bloodstream — can identify stage II colon cancer patients who can most benefit from chemotherapy following surgery and spare other ...
Subhash Kulkarni and colleagues create open-source software with the potential to help unlock mysteries of the enteric nervous system.
Johns Hopkins Gastroenterologist Founds Popular Global Discussion on IBD
Conceived and hosted by inflammatory bowel disease specialist Aline Charabaty, a weekly Twitter discussion known as @MondayNightIBD attracts as many as 700,000 viewers and includes some of the world’s top IBD physicians and scientists, ...
Improved Imaging and Earlier Surgery Help Patients with Hereditary Pancreatic Cancer Live Longer
Researchers in the Johns Hopkins Division of Gastroenterology and Hepatology say the next step is earlier detection in those without familial risk.
Johns Hopkins Oncologist Tests Vaccine for Pancreatic Cancer
The first-ever trials for an immunotherapy shot to prevent the lethal form of cancer are underway.
Endoscopic Ultrasound Measures Pressure in Hepatic Portal Vein
Gaining access to the liver through the stomach, Olaya Brewer Gutierrez and her therapeutic endoscopy colleagues at Johns Hopkins use endoscopic ultrasound to obtain a direct reading of the pressure in the hepatic portal vein.
A Rare, Stomach-Saving Endoscopic Procedure
When an otherwise healthy 69-year-old woman came to Johns Hopkins after a bout with gastroesophageal reflux disease, a routine endoscopy revealed a serious problem.
Johns Hopkins Develops Tiny Machines That Deliver Medicine to the Intestines
Invented by biomedical engineer David Gracias and gastroenterologist Florin Selaru, “theragrippers” are devices that clamp onto intestinal mucosa and release medicine.
Genetic Testing Reveals Important Clues in Unexplained Cases of Pancreatitis
For patients with recurrent acute or chronic pancreatitis, comprehensive genetic testing can help pinpoint the underlying cause of disease, avoiding potentially unnecessary tests and invasive treatments.
Destigmatizing Liver Transplant for Patients with Alcohol Use Disorder
Johns Hopkins is one of the few centers in the United States that regularly transplants livers into patients with alcohol-related liver disease whose sobriety doesn’t reach six-month threshold.
Making Anal Cancer Screening a Priority for High-Risk Patients
Ulrike Buchwald aims to detect anal lesions and dysplasia earlier in patients who are most vulnerable.
Johns Hopkins Physicians Take on Hepatitis B Epidemic in Vietnam
New Center of Excellence will bring clinical care, research and education to Ho Chi Minh City.
COVID-19 and IBD: New Survey Studies Underway at Johns Hopkins
Physicians and researchers in the Division of Gastroenterology and Hepatology seek to understand how COVID-19 affects patients with inflammatory bowel disease.
Director of Clinical Research Marcia “Mimi” Canto shares insights into her role as mentor in the Division of Gastroenterology and Hepatology.
A Treatment Breakthrough for Pregnant Women with IBD
Johns Hopkins research suggests that women with IBD who discontinue infliximab early in pregnancy are more likely to flare, while continuation of the drug throughout term is not associated with poor outcomes for mothers or babies.
Genetic Testing May Hold Promise in Predicting Pancreatic Cancer
Johns Hopkins research suggests that identification of particular genetic mutations could better predict risk and lead to improved survival rates.
3D Tissue Models Offer Window into How Gut Cells Fight Infection
Nicholas Zachos and his team are the first to cultivate a primary human macrophage-enteroid system, which allows researchers to see, in real time, how the gut fights against infection.
Johns Hopkins Developing New Test for Esophageal Cancer
A Johns Hopkins gastroenterologist and a team of researchers use specific genetic biomarkers to detect dangerous changes in the cells that line the inside of the esophagus. 3D image shows concept model of esophageal cancer.
Johns Hopkins Research Shows Potential for Cure for Polycystic Kidney Disease
Working both with mice and with 3D models of kidney cysts, genetics researcher Liudmila Cebotaru found that introducing a specific CFTR corrector slowed cystic growth.
At Sibley Memorial Hospital in Washington, D.C. — A ‘Whole-Person’ Approach to IBD Care
Because the way patients experience IBD can vary widely, gastroenterologist Aline Charabaty prioritizes understanding the needs of each one before recommending treatment.
Johns Hopkins Among First to Transplant HCV-Positive Livers Into HCV-Negative Patients
News & Publications January 8, 2019
Hopkins Researchers Deliver Gene Therapy Directly to the Liver
Fixing or replacing faulty genes has emerged as a key to unlocking cures for numerous devastating diseases.
Post-Endoscopy Infection Rates Far Higher Than Expected at Ambulatory Surgery Centers
Centers with the highest volume of procedures had the lowest rates of post-endoscopic infection.
Treating Gut Disease with Electrostimulation
Jiande Chen and team are using tiny electric shocks to reset the neural networks that regulate gut activity, with potential application for gastroparesis, functional bowel disorders and even diabetes.
Rethinking Elimination Diets and FODMAPS: A Common-Sense Approach to IBS
Gastroenterologist Gerry Mullin says that draconian elimination diets often aren’t necessary. Plus, learn about his research into the microbiome’s role in weight loss.
‘Mini Intestines’ Developed in Lab Hold Promise for Diarrheal Disease
News Release December 2017
After the Cure: What comes next for patients with post-HCV liver fibrosis?
News Release December 2017
Researchers Identify the Molecular Roots of Lung Damage in Preemies with GI Disease
News Release June 29, 2016
GI Mysteries: Jay Pasricha and the Center for Neurogastroenterology
Inside Tract September 1, 2013
Gastroenterology Referral Numbers
Main: 410-692-8385
Digestive Weight Loss Center: 410-705-6390
Integrative Medicine Center: 410-705-6395
Specialty Channels
- Clinical Research Advancements
- Dermatology
- Gastroenterology
- Geriatric Medicine and Gerontology
- Gynecology and Obstetrics
- Heart and Vascular
- Neurology and Neurosurgery
- Oncology
- Ophthalmology
- Orthopaedics
- Otolaryngology—Head and Neck Surgery
- Patient Safety
- Pediatrics
- Pediatric Diabetes and Endocrinology

